Photosensitizing effects of
bilirubin

Legends to figures
Click on images for
larger version, then press 'Back'-button to return.
Figure 1:

The surviving fraction of the cells as a function
of light dose. Mean and SEM from three independent
experiments.
Figure 2:

The sum of the concentrations of 4Z,15Z-bilirubin
and the isomers (4Z,15E), (4E,15Z) and Z-lumirubin for
various doses of blue light relative to the concentration
at zero light dose. Results from one experiment.
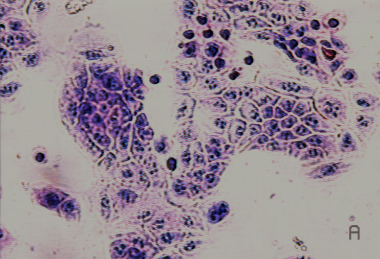
Figure 3:
Photomicrographs of cells 22 h after the end of
treatment.
Figure 3 a:
Phase contrast,
Figure 3 b:
Cells stained with Giemsa.